جميع البشر يشعرون بالخوف سواء من الأشياء المادية أو المعنوية أو حتى المجهولة لهم، وهناك بعض الأشخاص الذي يتزايد لديهم الخوف فيصابون بنوبات من الرعب والهلع، بينما يقل الخوف لدى البعض فيشعرون بالشجاعة والجرأة، ولولا الخوف لأقدم الإنسان على فعل أغبى السلوكيات، ومع كل ما سبق هناك حقائق علمية تؤكد أن الجينات والخلايا العصبية في المخ وكمية "الأدرينالين" والهرمونات التي يفرزها الجسم تتحكم في الشعور بالخوف من عدمه.
وبناءً على ذلك، نشر موقع "ليست فيرس"، تقريرًا مفصلا بخصوص أغرب الحقائق العلمية عن الخوف: كان في مقدمتها:
هناك حقيقة علمية عن الخوف أكدت المقولة المأثورة "كاد يموت من الخوف"، حيث أثبتت الأبحاث العلمية أن الخوف عندما يأتي بشكل فاجئ ويتزايد ويتحول لنوبة شديدة من الهلع والرعب، فإنه يكون كفيل وقتها بقتل صاحبه، وبخاصة من يعانون من أمراض القلب، وذلك بسبب ما يحدث من صدمة مفاجئة لقلب الإنسان تجعله يفقد قدرة التحمل، وللتغلب من موت الخوف، يحتاج القلب إلى الحقن المباشر بمادة الكالسيوم أو الأدرينالين، والتي تساعد على تقوية القلب وانخفاض ضغط الدم.

حقيقة علمية أخرى عن الخوف أكدت أن الخوف له جين وراثي في جسم كل إنسان يسمى "ستاسمين"، وهذا الجين هو المسئول الأول عن مقدار الخوف لدى الأشخاص، ويفرق بين الأشخاص الذين ليس لديهم أدنى مخاوف من للقفز بالمظلة من الطائرة، وبين الأشخاص الذين لديهم رهاب كافي يجعلهم عاجزين على صعود الطائرة، وعندما حُقنت فئران التجارب به ظهر لديها أعراض خوف لم تظهر على فئران أخرى لم تحقن بنفس الجين.

اكتشف العلماء أن الخوف يزيد لدى كثير من الأشخاص البالغين قبل وأثناء النوم، وبخاصة لدى الأطفال، ويتعرضون لنوبات تعرف باسم الهلع الليلي، واضطرابات النوم، مما يؤثر سلبًا على المصابين بهذا النوع من الخوف، ويجعلهم يعانون من اضطرابات عقلية وجسدية بالغة، وتظهر أعراض الخوف الليلي من خلال ضيق التنفس والتعرق وزيادة ضربات القلب وجفاف الفم والارتجاف في أسوأ الحالات.

يؤكد الباحثون أن ازدياد المخاوف لدى بعض الأشخاص يؤدي لإصابتهم بما يعرف "بتحريف الواقع"، مما يجعلهم يرون أشياء غير موجودة أو أشياء فى غير حجمها الطبيعي، ومن النادر أن يصاب البشر بهذه الأعراض إلا في حالة الرُهاب الشديد، إلا أن العلماء أكدوا أن من لديهم مخاوف غير طبيعية من المرتفعات يعانون من سوء الإدراك والتقدير البصري.

أكدت الأبحاث العلمية أن الحب يجعل جسم الإنسان يفرز هرمونات مضادة للخوف، ووجد الباحثين أن الأطفال الذين يحظون بحب واهتمام أمهاتهم أقل خوفًا من الأطفال الذين يفتقدون حب أبائهم وأبنائهم، كما أن هناك هرمون يسمى "أوكسيتوسين" تنتجه الدماغ لتقليل نوبات الخوف والهلع عند النساء أثناء الولادة، كما أن مستوى هذا الهرمون يرتفع لدى السيدات المُرضعات، ويعطيهن شعورًا بالسعادة ويجعلهن أكثر شجاعة وبخاصة إذا اضطررن إلى الدفاع عن أطفالهن حال تعرضهم لمكروه.

هناك مجموعة من المواد الكيميائية الموجود بالدماغ يطلق عليها اسم "إندوكانابينوادس"، وهذا المواد متشابهة إلى حد كبير مع المواد التي يتكون منها مخدر "الماريجوانا"، ويطلق الدماغ هذ المواد الكيمائية في حالات الخوف الشديد والذعر والضجر وعند استعادة الذكريات السيئة والمؤلمة.

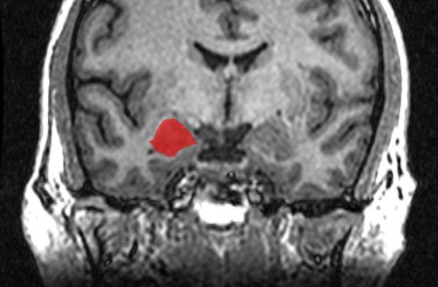
مراكز الخوف الموجود في الجمجمة والتي تتسبب لنا في الشعور بالخوف أو عدم الشعور به، توجد في الوزة الدماغية داخل الفص الصدغي من المخ ، وتمكن العلماء من التوصل لهذه الحقيقة العلمية، عندما أجروا أبحاثًا على فئران التجارب.

الخوف مرض وراثي، حقيقة علمية أثبتها الباحثون وتأكدت نتائجها عقب إجراء بعض الأبحاث على فئران التجارب، حيث تم صعق الفئران بشحنات كهربائية مصاحبة لاستنشاق رائحة الكرز، وبعد تكرار هذه التجربة، وجد العلماء أن صغار الفئران التي عانت من الصعق الكهربائي، يشعرون هم أيضا بالخوف الشديد بمجرد استشاق هذه رائحة الكرز، حتى دون تعرضهم للصعق بالكهرباء، وأرجع العلماء هذا الخوف إلى ما يعرف بالـ "الشفرة الوراثية".

الخوف مُعدي، حقيقة علمية أثبتها العلماء تؤكد مقولة "رائحة الخوف"، إلا أن الباحثين أكدوا أن رائحة الخوف لا يمكن أن يشمها أحد أو تلتقطها الأنف، ولكن هناك إشارات كيميائية يصدرها العقل تتسبب فى نقل الشعور بالخوف من شخص إلى شخص آخر، لنجد أنفسنا أمام ظاهرة علمية تعرف باسم ""عدوى الخوف".

هناك خلايا عصبية مسئولة عن الشعور بالخوف، وهذه الخلايا هى المسئول الأول عن المشاعر البشعة المصاحبة للخوف والمسئولة أيضا عن اللهاث والتعرق وعدم القدرة على التحرك، كما أن الخلايا العصبية هذه مسئولة عن إنتاج نفس مشاعر الخوف في حال تذكر تجربة مخيفة تعرض لها الإنسان.
























































