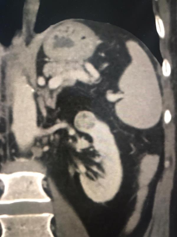
نجح فريق طبي بمدينة الملك عبدالله الطبية، من استئصال ورم سرطاني من الكلية اليسرى لمريض بالعقد السادس من العمر مع الحفاظ عليها وعلى وظيفتها بتقنية التبريد.
وأبانت مدينة الملك عبدالله الطبية، أن العملية تعد الأولى من نوعها على مستوى المنطقة الغربية، كما جرى تطبيق كافة الإجراءات الاحترازية الوقائية.


تسجيل الدخول
أضف تعليقك

















































