نشرت المجلات العلمية في الآونة الأخيرة العديد من الدراسات المتعلقة بعلاجات أمراض الذاكرة، وأشهرها ألزهايمر الذي تظهر أعراضه عند 5-6% من المسنين قبل بلوغ الـ 65 من العمر.
فيما رصدت تلك الدراسات مرضاً يتعلّق بالذاكرة أيضاً، ولكنه يختلف تمام الاختلاف عن ألزهايمر، وهو متلازمة "هايبرسيميثيا" شديدة النُدرة المصاب بها عشرات الأشخاص فقط حول العالم.. فما هو تعريفها وأعراضها وتاريخها وصفات المصابين بها؟

التعريف وأصل التسمية
يعد مرض "هايبرسيميثيا" من الاضطرابات العصبية النادرة، حيث يكون المريض أشبه بحاسب آلي متحرك يتذكر كل الأشياء والمواقف التي مرت به منذ سنوات بدقة متناهية جدًا، مما يجعلهم يعيشون حالة من التوتر والاكتئاب لتذكّرهم الماضي وآلامه.
وتعني كلمة "هايبرسيميثيا" التذكر المفرط، فهي كلمة مأخوذة من اللغة الإغريقية القديمة، ويطلق عليها كذلك HSAM اختصارًا لـ لمصطلح highly superior autobiographical memory ويعني ذاكرة السيرة الذاتية.

أعراضها وأثرها على المريض
تسبب تلك الذكريات الناجمة عن الإصابة بالمتلازمة النادرة، حالة شديدة من اليأس والاكتئاب وتعكر المزاج بحيث لا يمكن السيطرة على الذاكرة بجانب ذلك لا يحتاج المريض لأي جهد لتذكر حياته وتفاصيلها أو تذكر مواعيده.
كما يعاني المصابون من اضطرابات نفسية نتيجة الصدمات المتكررة عند تذكرهم للأحداث السلبية في حياتهم، إلى جانب تعرّضهم لحالات متكررة من نوبات الهلع والتوتر والقلق الشديد، حيث يصعب عليهم الحياة دون تفكير لافتقادهم نعمة النسيان.

صفات المصابين بمتلازمة فرط التذكر "هايبرسيميثيا "
في الوقت الذي يعاني المصابون بالمتلازمة النادرة من تلك الأعراض الخطيرة، إلا أنهم يتصفون بميزات وقدرات عديدة قد يعجز الإنسان الطبيعي عن التمتع بها، ومنها: اتساع الخيال والتمتع بقدر عال من الذكاء وذاكرة حديدية تجعلهم أشبه بحواسيب متحركة.
فيما يتميّز المصابون بفرط النشاط الذهني، وزيادة نشاط الدماغ، وكثرة الكلام، والتحدث في تفاصيل الأمور الدقيقة بكثرة، والميل إلى التفكير العميق، والقدرة العالية على التركيز، وتذكر الأحداث بتفاصيلها لسنوات عدة.

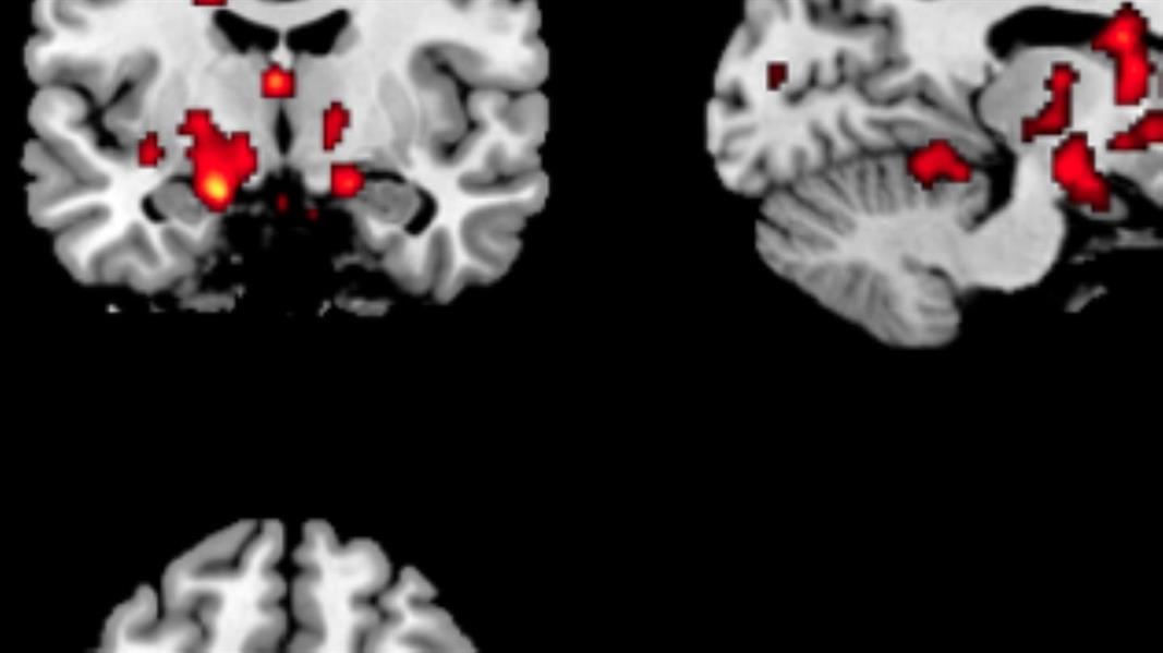
تاريخ الاكتشاف وأولى حالات الإصابة
لم يتم الكشف عن المتلازمة إلا في بدايات عام 2000، وقد اعتبر الطب والمجتمع المصابين بها أشخاصاً خارقين، وتم رصد من 30- 60 شخصا مصابا فقط حول العالم، حيث أفادت الدراسات بأن المنطقة الدماغية التي تساعد في عملية التذكر تكون أكبر في دماغ المصابين.
وجرى تشخيص أول حالة إصابة عام 2006، لفتاة عمرها 14 عاماً من قبل فريق متخصص في جامعة كاليفورنيا ، كما تم تشخيص نحو 25 حالة حتى عام 2013 بعد إجراء التصوير بالرنين المغناطيسي على الأشخاص المصابين وتم اكتشاف أن المسؤولة عن حفظ الذكريات عندهم أكبر 7 مرات مقارنةً بغير المصابين.






















































