يواجه العالم العديد من الأمراض التي باتت تشكل تهديدًا خطيرًا لصحة الإنسان، لا سيما أن بعض هذه الأمراض قد تحتاج إلى تعامل الشخص مع نفسه بعناية شديدة.
ويظل مرض البوليميا واحدًا من أصعب الأمراض التي يواجهها الإنسان، ليس فقط لكونه في حاجة إلى تعامل نفسي خاص، ولكن أيضًا لكونه يتسبب في 10% من الوفيات على مستوى العالم، ما يجعل الدراية بأعراضه أمرًا ضروريًا لمواجهته.
ما هو البوليميا؟
يعرف البوليميا بـ"النهام العصابي"، وهو أحد اضطرابات الأكل التي تشكل خطرًا على الحياة، حيث يعاني المصاب من حالات متكررة من النهم في تناول الطعام، يتبعها محاولة من المريض بالتسبب ذاتيًا في التقيؤ عن طريق استخدام مواد مسهلة أو مدرة للبول أو اعتماد نظام صارم من الصوم.
ويكون الهدف الرئيسي للمريض هو التخلص من الطعام الذي تم تناوله خلال فترة قصيرة، وذلك لإحساسه برغبة في ضرورة التخلص من الوزن الزائد، وذلك على الرغم من أن معظم الأشخاص المصابين لديهم أوزان طبيعية.

تطورات سلبية
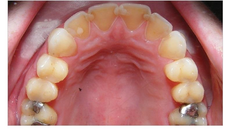
قد يؤدي التقيؤ الذاتي إلى انهيار الأسنان، كما أن حالة الشره في تناول الطعام ترتبط عادة باضطرابات عقلية مثل الاكتئاب والقلق، كما يمكن أن تتطور إلى إدمان المخدرات والكحول، ثم الوصول إلى الانتحار أو محاولات إيذاء النفس.
ويعاني المريض من ضغط نفسي واجتماعي، وذلك لغياب ثقته في نفسه بسبب شعوره بالبدانة، كما أن العيش في مجتمع يشجع على اتباع نمط غذائي معين أو مع أشخاص قلقين على أوزان أبنائهم، يزيد من خطورة المرض.

الأعراض
يعد العرض الرئيسي للإصابة بالبوليميا هو استهلاك كميات كبيرة من الطعام خلال فترة زمنية قصيرة جدًا، قد تصل إلى ساعتين أو أقل، ثم يأتي العرض الثاني والذي يتمثل في محاولة المريض التخلص من الطعام الذي تناوله منعًا لارتفاع وزنه.
ويكمن العرض النفسي في بدء المريض تقييم نفسه من خلال وزنه، ومن ثم تبدأ مشاعره تتشكل تجاه نفسه حسب حالة جسمه، وهو ما يتبعه فحص للوزن خلال فترات زمنية متقاربة.

ويركز المريض أيضًا على أجزاء معينة من الجسم، مثل الأرداف والوركين والبطن، كما أنه يشعر بالاشمئزاز من كل ما يتعلق بالجسم ومظهره الخارجي، وهو الأمر الذي يجعله يشعر بالعزلة الاجتماعية والاكتئاب، بالإضافة إلى محاولته بذل أعمال شاقة لإرضاء الآخرين.
ومن الأعراض الجسدية، فقدان مينا الأسنان نتيجة للقيء المتكرر، المعاناة من الانتفاخ والإمساك، وانتفاخ الغدد اللعابية، واضطرابات في نظام القلب، وتمزقات في المريء، وشعور عام بالإعياء.

العلاج والوقاية
يعتمد علاج البوليميا في المقام الرئيسي على الشق النفسي، والذي يعتمد على الجانب المعرفي السلوكي، وهو يقوم على تعليم المريض كيفية تحدي أفكاره.
كما يقوم الأشخاص الذي يتبعون هذا النمط العلاجي بتسجيل كميات الطعام التي يتناولونها ونوبات التقيؤ الذاتي، لتجنب التقلبات النفسية.
ويشكل العلاج السلوكي الجدلي الجانب الآخر من العلاج، حيث يهدف إلى تغيير السلوك والتخلص من الاضطراب في تناول الطعام.
ويعتمد الجانب الدوائي على مضادات الاكتئاب من فئة مثبطات امتصاص السيروتونين، مثل فلوكستين، الذي تم اعتماده من قبل إدارة الأغذية والعقاقير الأمريكية لعلاج الشره المرضي، بالإضافة إلى غيره من مضادات الاكتئاب.


















































